
農学部共同獣医学科
教授 落合謙爾
獣医病理学
岩手大学農学部 落合謙爾教授と西浦 颯博士らの研究グループは、レトロウイルス科に属す鳥白血病ウイルス感染鶏に併発する脳の神経膠腫と心臓の心筋異常・横紋筋腫は異なる機序で発生すること、レトロウイルス性心筋異常は鳥白血病ウイルスのエンベロープ遺伝子に規定されることを明らかにしました。本成果により、鳥白血病ウイルスの多様な病原性が浮き彫りとなり、いまだ謎の多いヒトや他の動物のレトロウイルス性心疾患ならびに脳腫瘍の発生機序解明に向けて比較病理学的なアプローチが可能となりました。
レトロウイルス科のウイルスは細胞に感染すると、そのゲノムに組み込まれプロウイルスとなって生涯取り除かれることはありません。鶏にレトロウイルス科の鳥白血病ウイルス (ALV) が感染すると、リンパ性白血病のほか、様々な腫瘍を引き起こします。しかしながら、本ウイルスと神経系に発生する腫瘍との因果関係はわかっていませんでした。こうした中、鶏の原因不明の神経疾患「いわゆる鶏の神経膠腫」が突如日本鶏に発生しました(図1)。この国内初発例の解析がきっかけとなり、落合教授らは本疾患の原因がALV の一株、神経膠腫誘発ウイルス(FGV)であることを明らかにしました。
その後、FGV やその変異株は国内の日本鶏に蔓延していること、採卵鶏にもほかのALV株により同様の脳腫瘍が発生すること、FGV 変異株 Km_5666株は心筋異常や心臓腫瘍を誘発することが明らかになりました(図2)。さらにこれら腫瘍は短期間のうちに誘発されることから、リンパ性白血病とは発生機序が異なると推察されます。一方、引き続き実施された疫学調査から、Km_5666による心筋異常の発生はわずか4、5年で終息し、本株は同鶏群から自然消滅したと考えられていました。しかし、3年ほど前から心筋異常が再び観察されるようになり、さらに罹患鶏の多くが複数のALV株に共感染していることがわかりました。こうした背景を踏まえ、本研究では共感染しているウイルスを感染性分子クローンとして分離し、それぞれの分子クローンの分子生物学的特徴と病原性を解析しました。
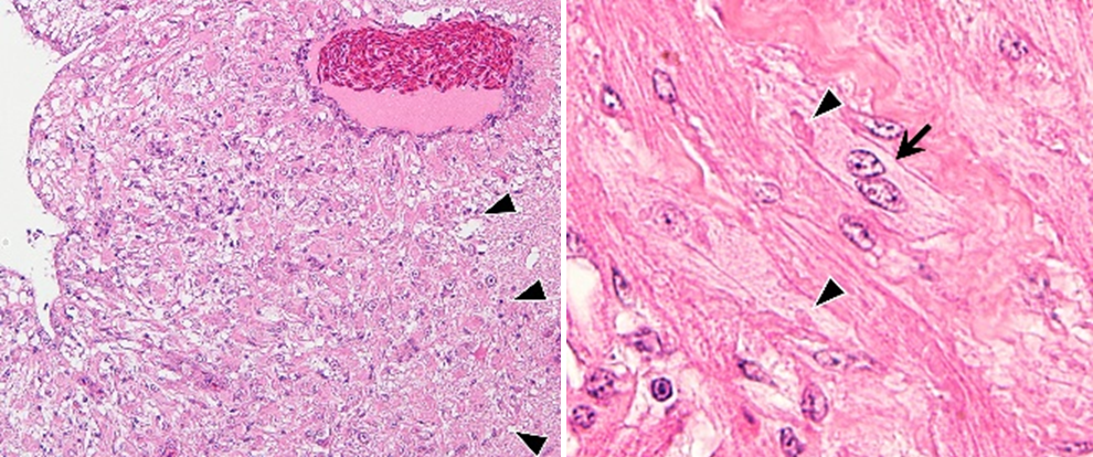
2017~2020年に検索した日本鶏71羽中4羽で神経膠腫と心筋異常の併発が確認され(図3)、さらにこれらの罹患鶏には複数のALV株の共感染が疑われました。
そこで、新たに分子クローン作製法を確立し、1羽のサンプルから2株の感染性分子クローン、KmN_77_clone_A、KmN_77_clone_Bを作製することに成功しました。また、過去に分離した心臓病原性株 Km_5666株の分子クローンを作製しました。シークエンス解析では、KmN_77_clone_Aのエンベロープ遺伝子の一部、envSUは心臓病原性株Km_5666のenvSUと高い相同性を示しました(図4, 94.1%)。一方、KmN_77_clone_BのenvSUは心臓病原性を持たないFGV変異体のそれと概ね一致しました(相同性99.2%以上)。
さらに、Km_5666_ cloneを用いた感染実験では神経膠腫と心筋異常の両者を再現することができました(図5)。これらの成績から、心筋異常・心臓横紋筋腫の病原性決定因子はKm_5666のenvSUに存在することがわかりました。
本研究により心筋異常の病理発生にはALVのエンベロープ遺伝子が関与することが浮き彫りとなりました。ヒトの原因不明の心筋疾患の発生にはヒトレトロウイルス感染の関与が推察されています。レトロウイルス性疾患の制圧に向けて、ALVの神経病原性株と心臓病原性株、非心臓病原性株との分子生物学的比較、これら変異体の出現経緯を解き明かしていけば、レトロウイルスの病原性を遺伝子レベルでより明確にすることができると考えています。
題 目:Avian retroviral cardiomyopathy induced by infectious molecular clones of avian leukosis viruses (fowl glioma-inducing virus variants)
著 者:Hayate Nishiura, Aya Tsushima, Azusa Kato, Shun Saito, Takeshi Iwamoto, Yui Kondo, Hitoshi Hatai, Kenji Ochiai
誌 名:Avian Pathology 52(4):264-276, 2023
公表日:Jun 12, 2023
本研究は、以下の研究事業の成果の一部として得られました。
・文部科学省科学研究費補助金・基盤研究(B)「神経病原性レトロウイルスがグリオーマを誘発する新しい分子機構の解明」(21H02354)研究代表者:落合謙爾,同・挑戦的研究(萌芽)「レトロウイルス性心筋異常の病態解析と動物モデル化の検討」(19K22356)研究代表者:落合謙爾
岩手大学農学部共同獣医学科
教授 落合謙爾 (獣医病理学)
電 話:019-621-6216
メール:kochiai@iwate-u.ac.jp